ERCP complicated by pseudoanerysm of right hepatic artery: A rare case report
Keywords:
ERCP, pseudoanerysm, endoscopic sphinterotomy, hepatic arteryAbstract
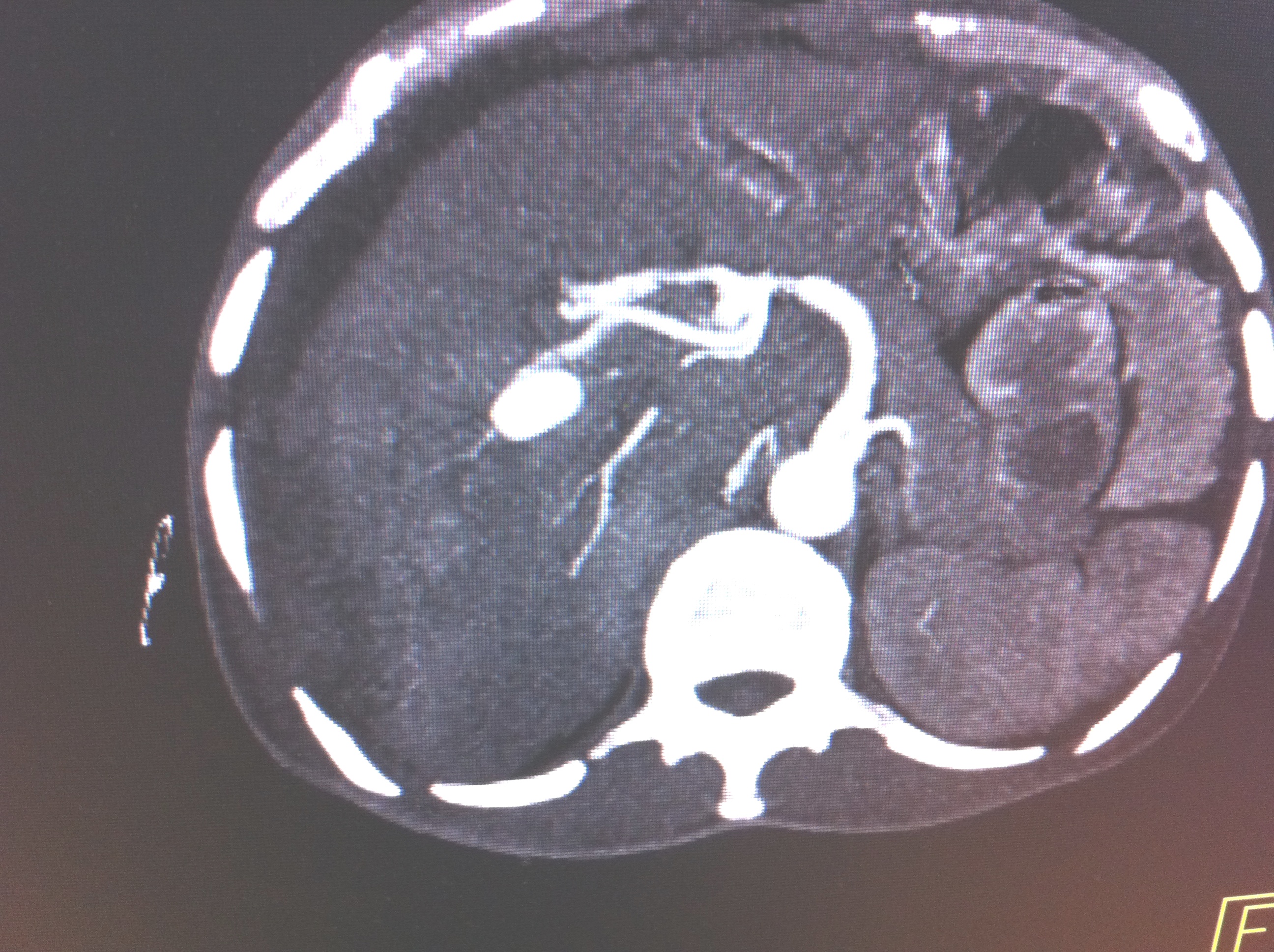
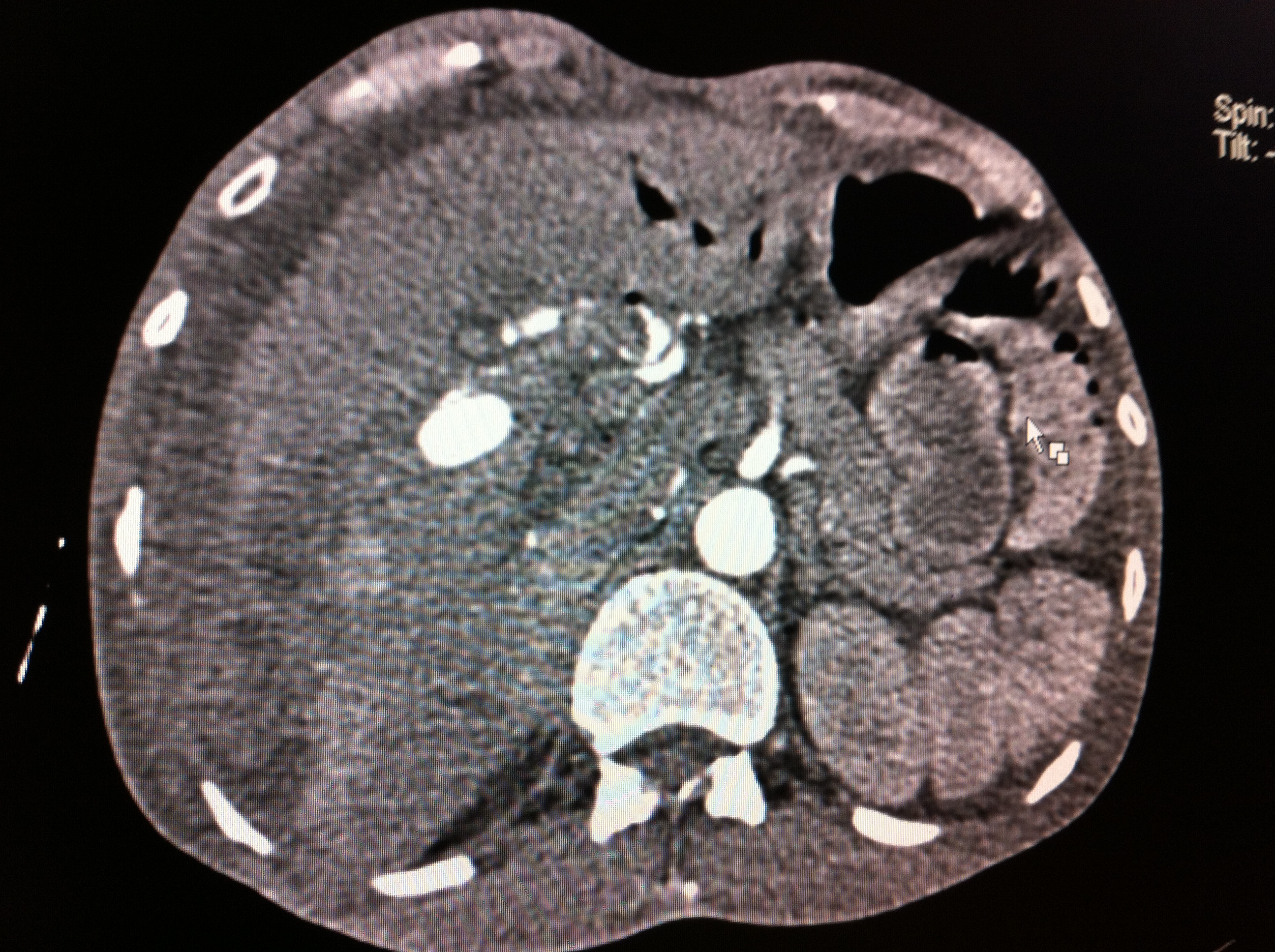
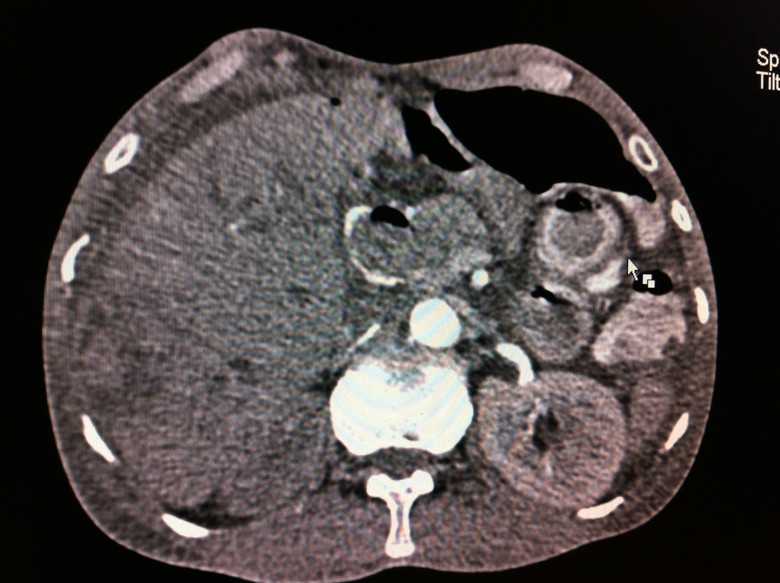
Endoscopic Retrograde Cholangio-Pancreatography (ERCP) has advantage of having bothdiagnostic and therapeutic utility and most common indication for endoscopic sphinterotomyis choledocholithiasis. Therapeutic ERCP is quite often associated with complications, mostcommon being acute pancreatitis followed by bleeding. Most common source of bleedingis small branches of pancreaticoduodenal artery (PDA) which lie close to papilla. We reporta rare case of leaking right hepatic artery pseudoanerysm following clearance of commonbile duct (CBD) stones by ERCP presenting with shock and upper GI bleed.
DOI: http://dx.doi.org/10.3126/ajms.v6i2.10546
Asian Journal of Medical Sciences Vol.6(2) 2015 115-117
Downloads
Downloads
Published
How to Cite
Issue
Section
License
Authors who publish with this journal agree to the following terms:
- The journal holds copyright and publishes the work under a Creative Commons CC-BY-NC license that permits use, distribution and reprduction in any medium, provided the original work is properly cited and is not used for commercial purposes. The journal should be recognised as the original publisher of this work.
- Authors are able to enter into separate, additional contractual arrangements for the non-exclusive distribution of the journal's published version of the work (e.g., post it to an institutional repository or publish it in a book), with an acknowledgement of its initial publication in this journal.
- Authors are permitted and encouraged to post their work online (e.g., in institutional repositories or on their website) prior to and during the submission process, as it can lead to productive exchanges, as well as earlier and greater citation of published work (See The Effect of Open Access).