Isolated Pulmonary Metastasis from Prostate Adenocarcinoma: Diagnosis by Fine Needle Aspiration Cytology

Authors

  • Anju Khairwa Senior Resident Departments of Cytology and Gynecological Pathology Pathology Postgraduate Institute of Medical Education and Research Chandigarh
  • Gupta Nalini Associate Professor Department of Cytology and Gynecological Pathology Postgraduate Institute of Medical Education and Research Chandigarh
  • Singhal Manphool Assistant Professor, Department of Radiodiagnosis, Postgraduate Institute of Medical Education and Research, Chandigarh
  • Kumar Santosh Assistant Professor, Department of Urology, Postgraduate Institute of Medical Education and Research, Chandigarh.
  • Rajwanshi Arvind Professor & Head, Departments of Cytology and Gynecological Pathology, Postgraduate Institute of Medical Education and Research, Chandigarh.

Keywords:

Prostate carcinoma, Pulmonary Metastasis, Fine Needle Aspiration Cytology

Abstract

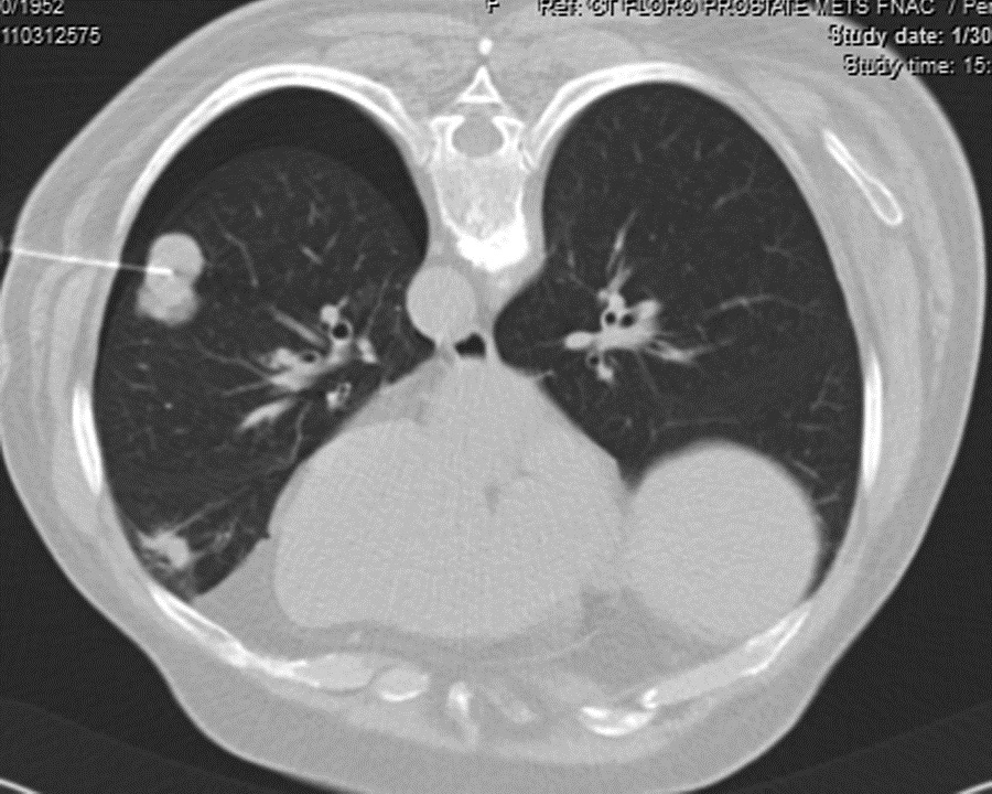
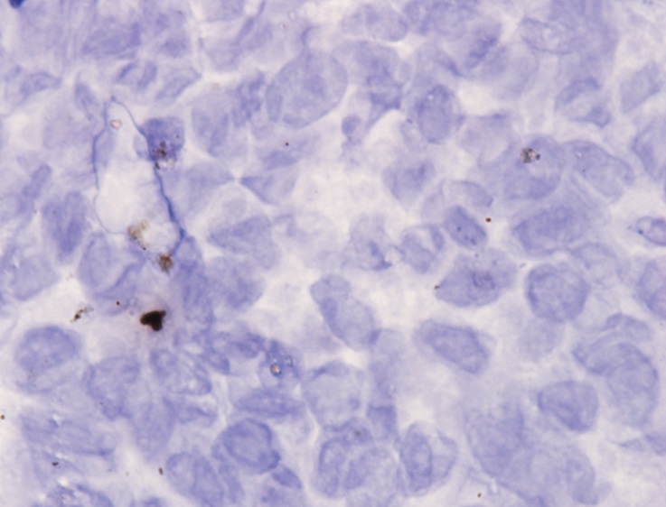
Prostate cancer usually metastasizes to regional lymph nodes and bone followed by distant organs. Here, we present a case of elderly man who had isolated respiratory symptoms and finally turned out to be metastasis from prostate cancer. Rarity of isolated pulmonary metastases of prostate cancer without bone and lymph node involment prompted us to report this case which was diagnosed by CT guided FNAC. 

DOI: http://dx.doi.org/10.3126/ajms.v6i2.11103

Asian Journal of Medical Sciences Vol.6(2) 2015 111-114

Downloads

Download data is not yet available.
Abstract
807
PDF
855

Downloads

Published

2014-09-16

How to Cite

Khairwa, A., Nalini, G., Manphool, S., Santosh, K., & Arvind, R. (2014). Isolated Pulmonary Metastasis from Prostate Adenocarcinoma: Diagnosis by Fine Needle Aspiration Cytology. Asian Journal of Medical Sciences, 6(2), 111–114. Retrieved from https://www.nepjol.info/index.php/AJMS/article/view/11103

Issue

Section

Case Reports