Emphysematous pyelonephritis with Dengue hemorrhagic fever: A successful medical management of a fatal scenario
Keywords:
Emphysematous pyelonephritis, Dengue fever, dysuria, thrombocytopeniaAbstract
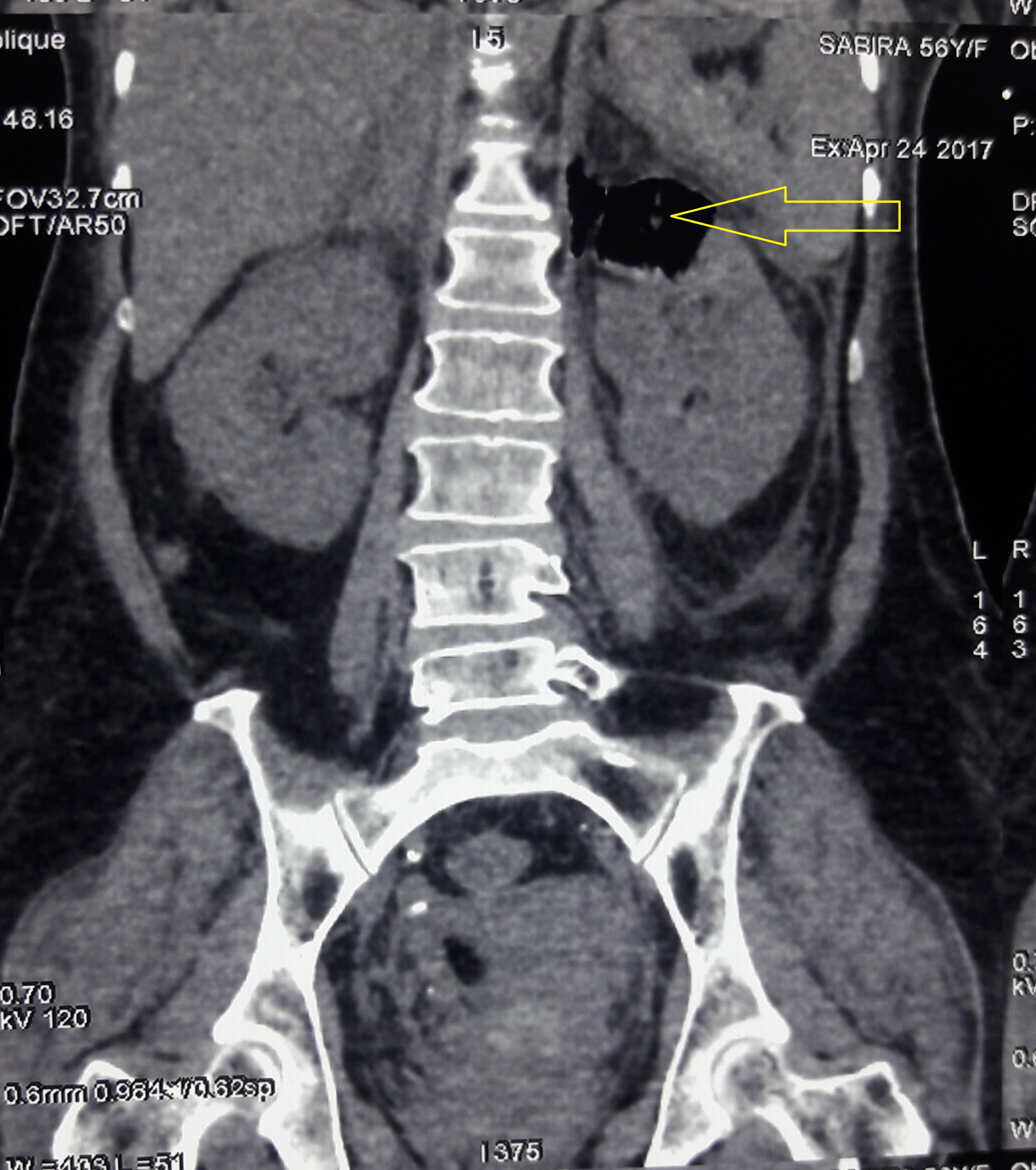
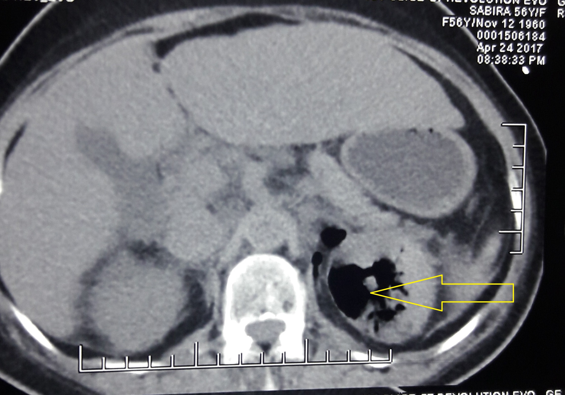
Emphysematous pyelonephritis is a life threatening acute necrotizing infection with associated gas formation involving the renal parenchyma and perinephric tissues. Dengue fever, according to the WHO, is the most rapidly spreading mosquito borne viral infection in the world. Dengue Hemorrgahic Fever is a more severe form of dengue fever and is characterized by fever, bleeding manifestations, plasma leakage and thrombocytopenia. This is a case of a 56 year old female, who presented with history of fever, headache, myalgia and dysuria; and was diagnosed to have emphysematous pyelonephritis with Dengue Hemorrgahic Fever. She was successfully managed with intravenous antibiotics and platelet transfusions, without any urological interventions.
Asian Journal of Medical Sciences Vol.8(5) 2017 101-103
Downloads
Downloads
Additional Files
Published
How to Cite
Issue
Section
License
Authors who publish with this journal agree to the following terms:
- The journal holds copyright and publishes the work under a Creative Commons CC-BY-NC license that permits use, distribution and reprduction in any medium, provided the original work is properly cited and is not used for commercial purposes. The journal should be recognised as the original publisher of this work.
- Authors are able to enter into separate, additional contractual arrangements for the non-exclusive distribution of the journal's published version of the work (e.g., post it to an institutional repository or publish it in a book), with an acknowledgement of its initial publication in this journal.
- Authors are permitted and encouraged to post their work online (e.g., in institutional repositories or on their website) prior to and during the submission process, as it can lead to productive exchanges, as well as earlier and greater citation of published work (See The Effect of Open Access).