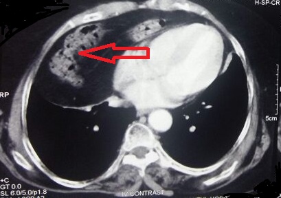
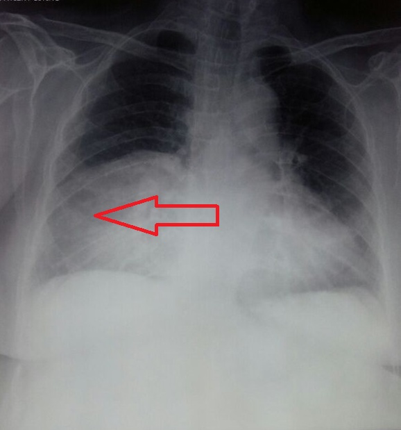
Eight decades of asymptomatic Morgagni Hernia
Keywords:
Morgagni hernia, diaphragmatic hernia, congenital herniaAbstract
NO ABSTRACT
Asian Journal of Medical Sciences Vol.9(1) 2018 73-74
Downloads
Download data is not yet available.
Abstract
596
PDF
725
Downloads
Additional Files
Published
2018-01-01
How to Cite
Manappallil, R. G., Sabir, M. C., & Rahman, S. (2018). Eight decades of asymptomatic Morgagni Hernia. Asian Journal of Medical Sciences, 9(1), 73–74. Retrieved from https://www.nepjol.info/index.php/AJMS/article/view/18759
Issue
Section
Letters to the Editor
License
Authors who publish with this journal agree to the following terms:
- The journal holds copyright and publishes the work under a Creative Commons CC-BY-NC license that permits use, distribution and reprduction in any medium, provided the original work is properly cited and is not used for commercial purposes. The journal should be recognised as the original publisher of this work.
- Authors are able to enter into separate, additional contractual arrangements for the non-exclusive distribution of the journal's published version of the work (e.g., post it to an institutional repository or publish it in a book), with an acknowledgement of its initial publication in this journal.
- Authors are permitted and encouraged to post their work online (e.g., in institutional repositories or on their website) prior to and during the submission process, as it can lead to productive exchanges, as well as earlier and greater citation of published work (See The Effect of Open Access).