Glottic Squamous Cell Carcinoma Metastatic to the Brain

Authors

  • Shashikant CU Patne Institute of Medical Sciences, Banaras Hindu University, Varanasi
  • Satyajit Pradhan Institute of Medical Sciences, Banaras Hindu University, Varanasi
  • Reena Mittal Dr. B.R.A. Institute Rotary Cancer Hospital, All India Institute of Medical Sciences, New Delhi
  • Mohan Kumar Institute of Medical Sciences, Banaras Hindu University, Varanasi
  • Pranay Tanwar Dr. B.R.A. Institute Rotary Cancer Hospital, All India Institute of Medical Sciences, New Delhi

Keywords:

Carcinoma glottis, brain metastasis, Squamous cell carcinoma

Abstract

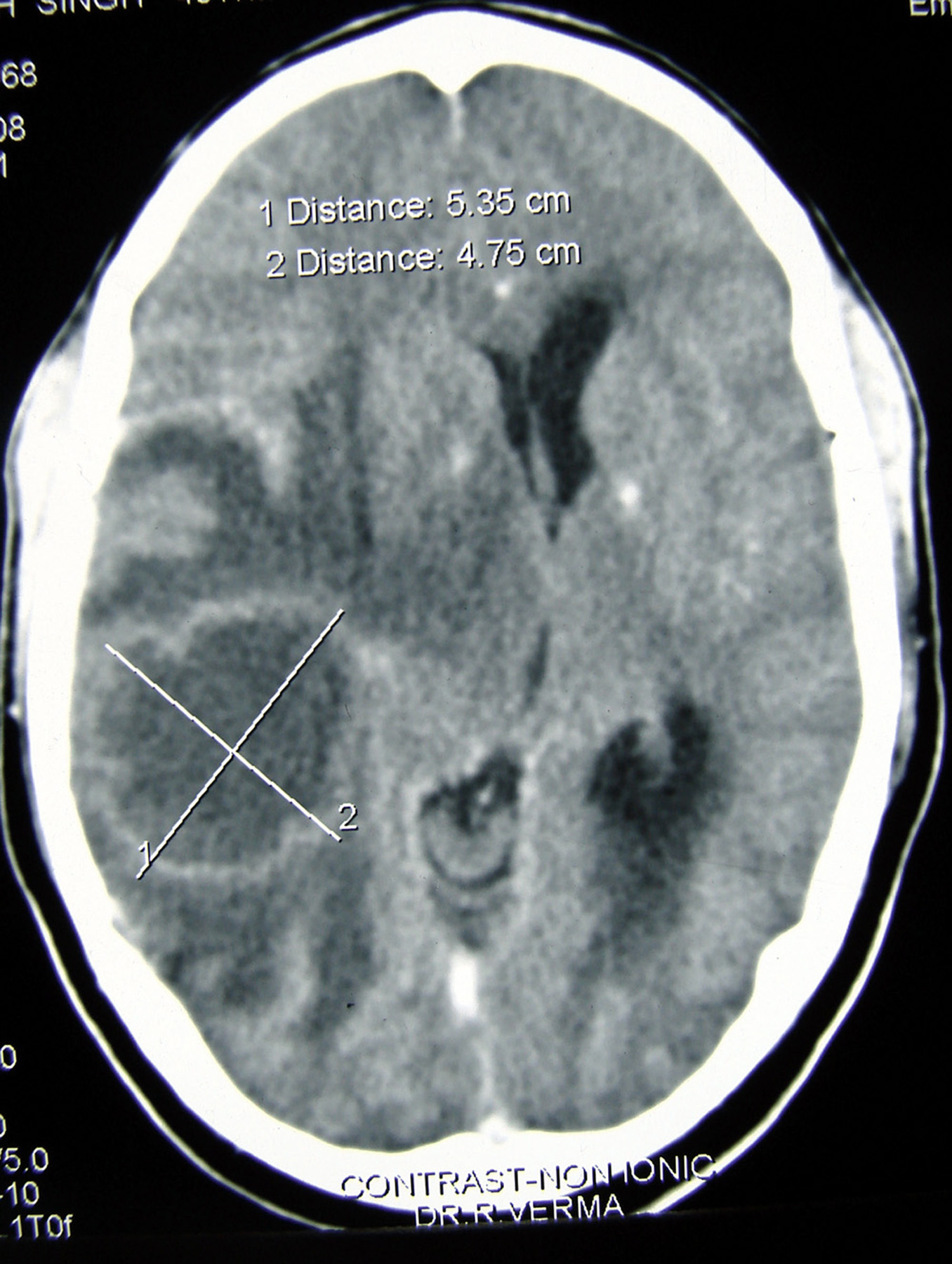
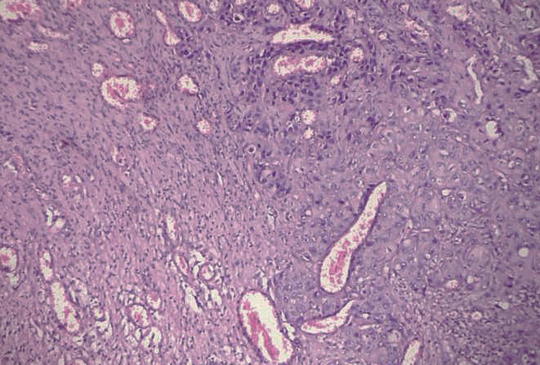
Spread of squamous cell carcinoma (SCC) commonly occurs vialocal lymphatic channels. Owing to scanty lymphatic drainage and vascular supply, SCC arising from the glottis rarely metastasizes. A 39-year-old male, operated for SCC of the glottis, presented 13 months later with complaints of headache. Computed tomography revealed a single ring-enhancing lesion in the right temporo-parietal region of the brain, suggestive of brain abscess. However, histopathological examination of the excised brain lesion showed metastasis of moderately differentiated SCC. Here, we report a rarecase of distant hematogenous brain metastasis of SCC of the glottis.

DOI: http://dx.doi.org/10.3126/ajms.v5i1.5205

Asian Journal of Medical Science Vol.5(1) 2014 pp.77-80

Downloads

Download data is not yet available.
Abstract
763
PDF
830

Author Biographies

Shashikant CU Patne, Institute of Medical Sciences, Banaras Hindu University, Varanasi

Asisstant professor, Department of Pathology

Satyajit Pradhan, Institute of Medical Sciences, Banaras Hindu University, Varanasi

Professor, Department of Radiotherapy and Radiation Medicine

Reena Mittal, Dr. B.R.A. Institute Rotary Cancer Hospital, All India Institute of Medical Sciences, New Delhi

Senior Resident, Laboratory Oncology Unit

Mohan Kumar, Institute of Medical Sciences, Banaras Hindu University, Varanasi

Professor, Department of Pathology

Pranay Tanwar, Dr. B.R.A. Institute Rotary Cancer Hospital, All India Institute of Medical Sciences, New Delhi

Assistant Professor, Laboratory Oncology Unit

Downloads

Published

2013-09-04

How to Cite

Patne, S. C., Pradhan, S., Mittal, R., Kumar, M., & Tanwar, P. (2013). Glottic Squamous Cell Carcinoma Metastatic to the Brain. Asian Journal of Medical Sciences, 5(1), 77–80. Retrieved from https://www.nepjol.info/index.php/AJMS/article/view/5205

Issue

Section

Case Reports