Symptomatic Tarlov Cysts: an MRI evaluation of case series and literature review

Authors

  • Netra Rana First Affiliated Hospital of Xi'an Jiaotong University, Xi'an-710061, Shaanxi
  • Shao Hui Ma First Affiliated Hospital of Xi'an Jiaotong University, Xi'an-710061, Shaanxi
  • Ming Zhang First Affiliated Hospital of Xi'an Jiaotong University, Xi'an-710061, Shaanxi
  • Subesh Dahal Xi'an Jiaotong University, School of Medicine
  • Zhi-Gang Min First Affiliated Hospital of Xi'an Jiaotong University, Xi'an-710061, Shaanxi

Keywords:

Tarlov cyst, Magnetic resonance imaging, Myelogram, Surgical indications, Microsurgical excision

Abstract

Corrections: on Page 38 in the 4th line of text, the information in brackets (Figure 1, 2, 3a and 4) was replaced on 24th June 2013 with (Figure 1. 2 3b and 4). The number of the references has also been changed. The corrected PDF is available by clicking the link below.

Aim: To analyze the characteristics of symptomatic Tarlov cysts by MRI.

Materials and Methods: Neuroimaging and clinical outcome data were reviewed of 48 consecutive patients treated for symptomatic Tarlov cysts. All patients were scanned under Philips Gyroscan Intera 1.5T scanner with spinal surface coils. Two widely used surgical procedures were performed, 1) incision and drainage of the cyst with imbrication of the redundant nerve root sheath, and 2) exposure of the cyst, drainage of cyst contents, identification of nerve roots, and cyst wall resection combined with duraplasty. The post-operation follow-up was obtained from return visits to the neurosurgery and orthopaedic out-patient department or by telephone questionnaires.

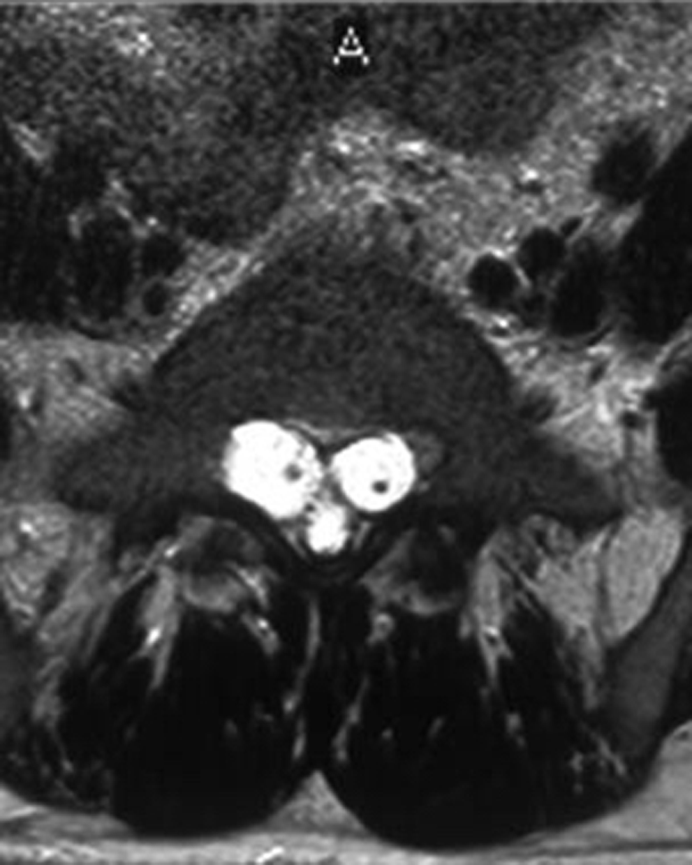
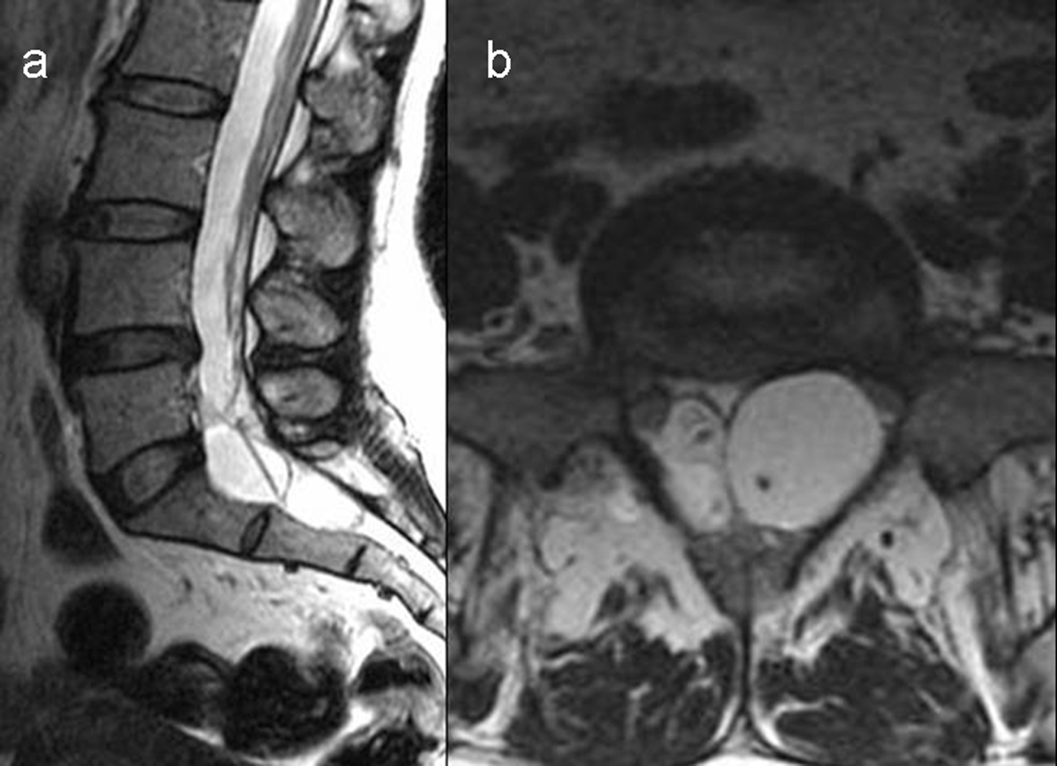
Results: All cystic lesions showed hypointense signal intensity on T1WI and hyperintense signal intensity on T2WI, but the nerve root showed iso-intensity on T1WI and low signal intensity on T2WI. They were linear in shape on sagittal view, and hypo intense dotted spots within the cysts on traverse view. Surrounding structures of the larger cysts were compressed and had bone erosions in some cases; the spinal canal and the intervertebral foramen on the affected side were enlarged. The lesions/cyst wall showed no enhancement after gadolinium administration.

Conclusion: MRI will give a definite diagnosis of Tarlov cysts if nerve root presents within the cyst cavity or in the cyst wall; eliminating the need for histological confirmation. A correct analysis of the characteristics of symptomatic Tarlov cysts by MRI, will document its usefulness in noninvasive diagnosis and aid in exploration of the simplest treatment method.

DOI: http://dx.doi.org/10.3126/ajms.v4i3.8056

Asian Journal of Medical Sciences 4(2013) 35-42

Downloads

Download data is not yet available.
Abstract
2180
PDF
1122

Author Biographies

Netra Rana, First Affiliated Hospital of Xi'an Jiaotong University, Xi'an-710061, Shaanxi

Department of Medical Imaging

Shao Hui Ma, First Affiliated Hospital of Xi'an Jiaotong University, Xi'an-710061, Shaanxi

Department of Medical Imaging

Ming Zhang, First Affiliated Hospital of Xi'an Jiaotong University, Xi'an-710061, Shaanxi

Department of Medical Imaging

Zhi-Gang Min, First Affiliated Hospital of Xi'an Jiaotong University, Xi'an-710061, Shaanxi

Department of Medical Imaging

Downloads

Published

2013-06-20

How to Cite

Rana, N., Ma, S. H., Zhang, M., Dahal, S., & Min, Z.-G. (2013). Symptomatic Tarlov Cysts: an MRI evaluation of case series and literature review. Asian Journal of Medical Sciences, 4(3), 35–42. Retrieved from https://www.nepjol.info/index.php/AJMS/article/view/8056

Issue

Section

Original Articles