Extraocular Myocysticercosis Involving Levator Palpebrae Superioris-Superior Rectus Complex: A Rare case Report

Authors

  • Sajid Ansari Department of Radiodiagnosis and Imaging, B.P Koirala Institute of Health Sciences, Dharan,
  • Mukesh Kumar Gupta Department of Radiodiagnosis and Imaging, B.P Koirala Institute of Health Sciences, Dharan,
  • Kaleem Ahmad Department of Radiodiagnosis and Imaging, B.P Koirala Institute of Health Sciences, Dharan,
  • Kanchan Dhungel Department of Radiodiagnosis and Imaging, B.P Koirala Institute of Health Sciences, Dharan,
  • Abhishek Kumar Department of Radiodiagnosis and Imaging, B.P Koirala Institute of Health Sciences, Dharan,
  • Raj Kumar Rauniyar Department of Radiodiagnosis and Imaging, B.P Koirala Institute of Health Sciences, Dharan,

Keywords:

Extraocular myocysticercosis, Superior rectus, Levator palpebrae superioris, Computed tomography, Ultrasonography

Abstract

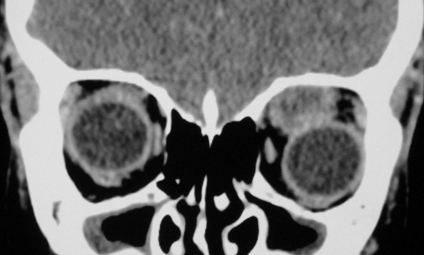
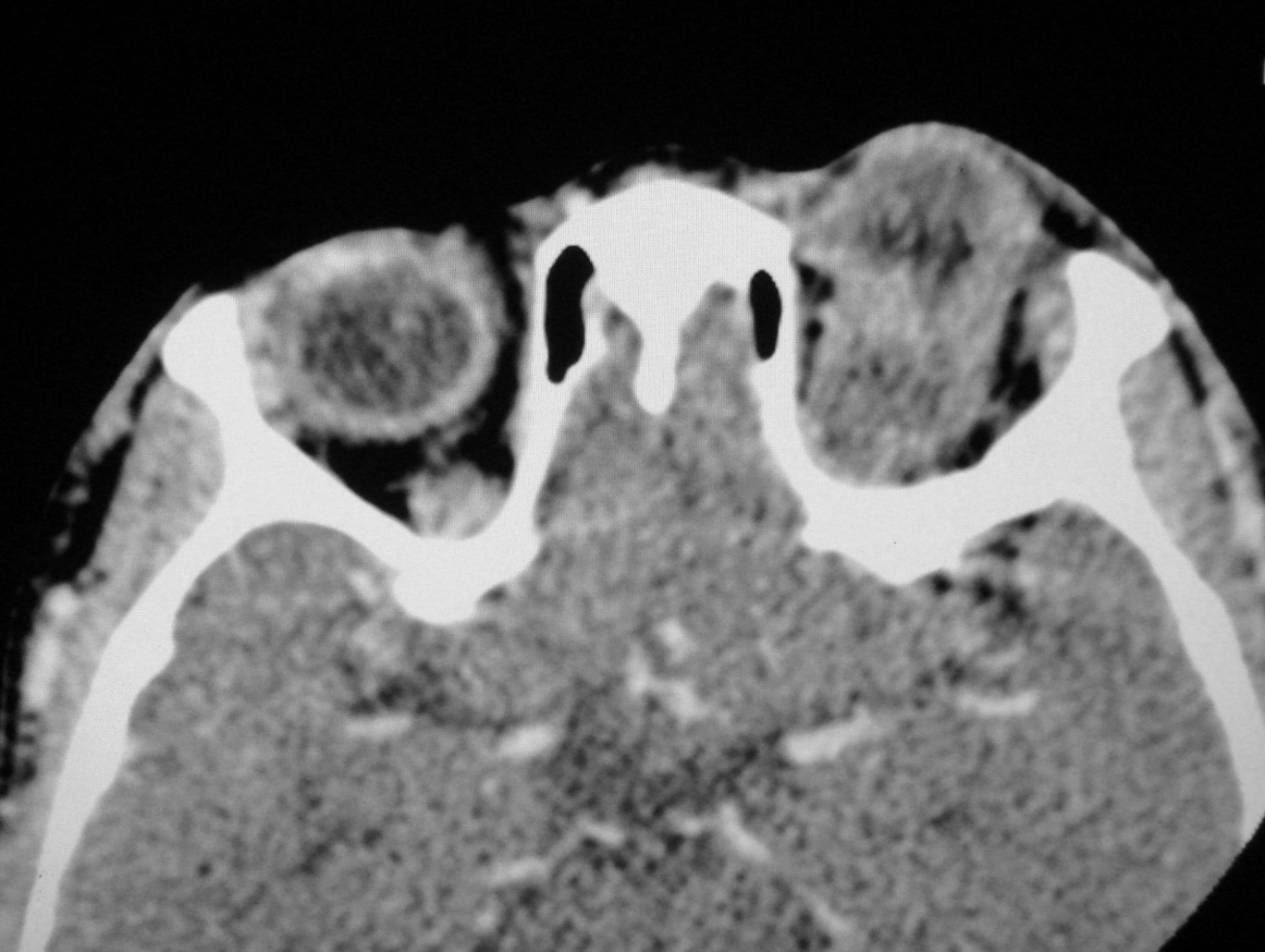
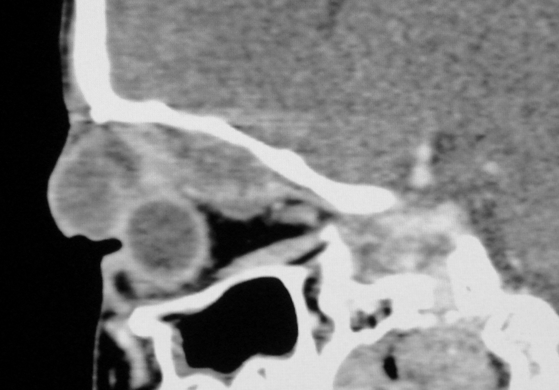
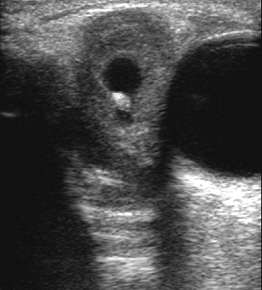
The ocular involvement of the cysticercosis is a rare entity involving eyelids, extraocular muscles, orbit, conjunctiva, anterior chamber, uvea, retina, vitreous and optic nerve. All the extraocular muscles are involved in myocysticercosis. Ultrasonography and Computed tomography are the imaging modalities for evaluation of ocular cysticercosis. The patients can be treated with systemic steroids and albendazole; however surgical excision is the treatment of choice. We report a rare case of extraocular myocysticercosis in nine years old boy diagnosed on ultrasonography and computed tomography.

Asian Journal of Medical Science, Volume-4 (2013), Pages 36-39

DOI: http://dx.doi.org/10.3126/ajms.v4i4.8163

 

Downloads

Download data is not yet available.
Abstract
703
PDF
791

Downloads

Published

2013-08-11

How to Cite

Ansari, S., Gupta, M. K., Ahmad, K., Dhungel, K., Kumar, A., & Rauniyar, R. K. (2013). Extraocular Myocysticercosis Involving Levator Palpebrae Superioris-Superior Rectus Complex: A Rare case Report. Asian Journal of Medical Sciences, 4(4), 36–39. Retrieved from https://www.nepjol.info/index.php/AJMS/article/view/8163

Issue

Section

Case Reports