Aggressive nasopharyngeal carcinoma presenting as diminution of vision: a case report

Authors

  • Kaleem Ahmad Associate Professor, Department of Radiodiagnosis, B.P. Koirala Institute of Health Sciences, Dharan
  • Sajid Ansari Assistant Professor, Department of Radiodiagnosis, B.P. Koirala Institute of Health Sciences, Dharan
  • Kanchan Dhungel Associate Professor, Department of Radiodiagnosis, B.P. Koirala Institute of Health Sciences, Dharan
  • Mukesh Kumar Gupta Associate Professor, Department of Radiodiagnosis, B.P. Koirala Institute of Health Sciences, Dharan
  • Raj Kumar Rauniyar Professor, Department of Radiodiagnosis, B.P. Koirala Institute of Health Sciences, Dharan
  • Mohammad Azfar Siddiqui Assistant Professor, Department of Radiodiagnosis, J. N. Medical College, AMU, Aligarh

Keywords:

Nasopharyngeal carcinoma, Orbital apex, Cavernous sinus, CT scan

Abstract

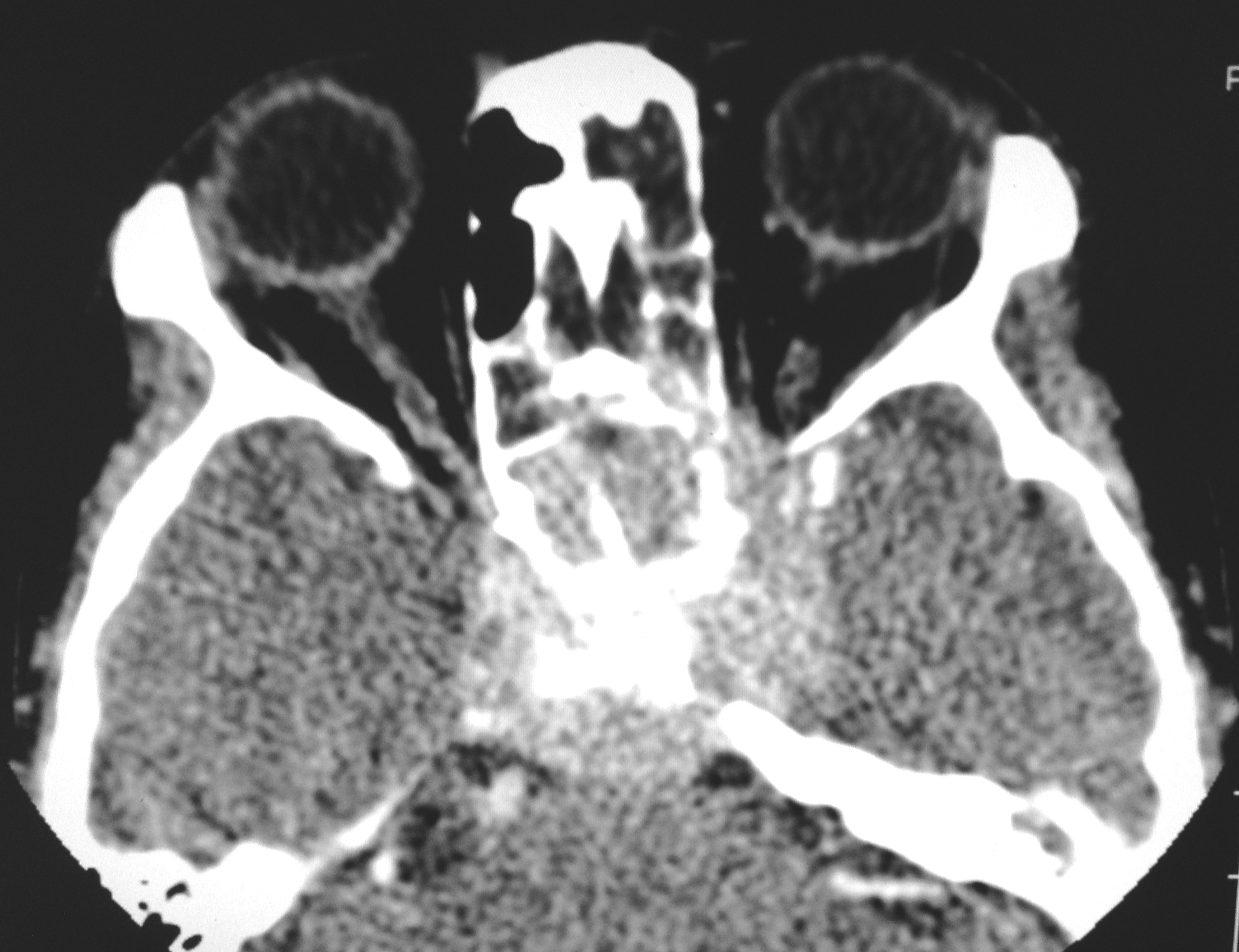
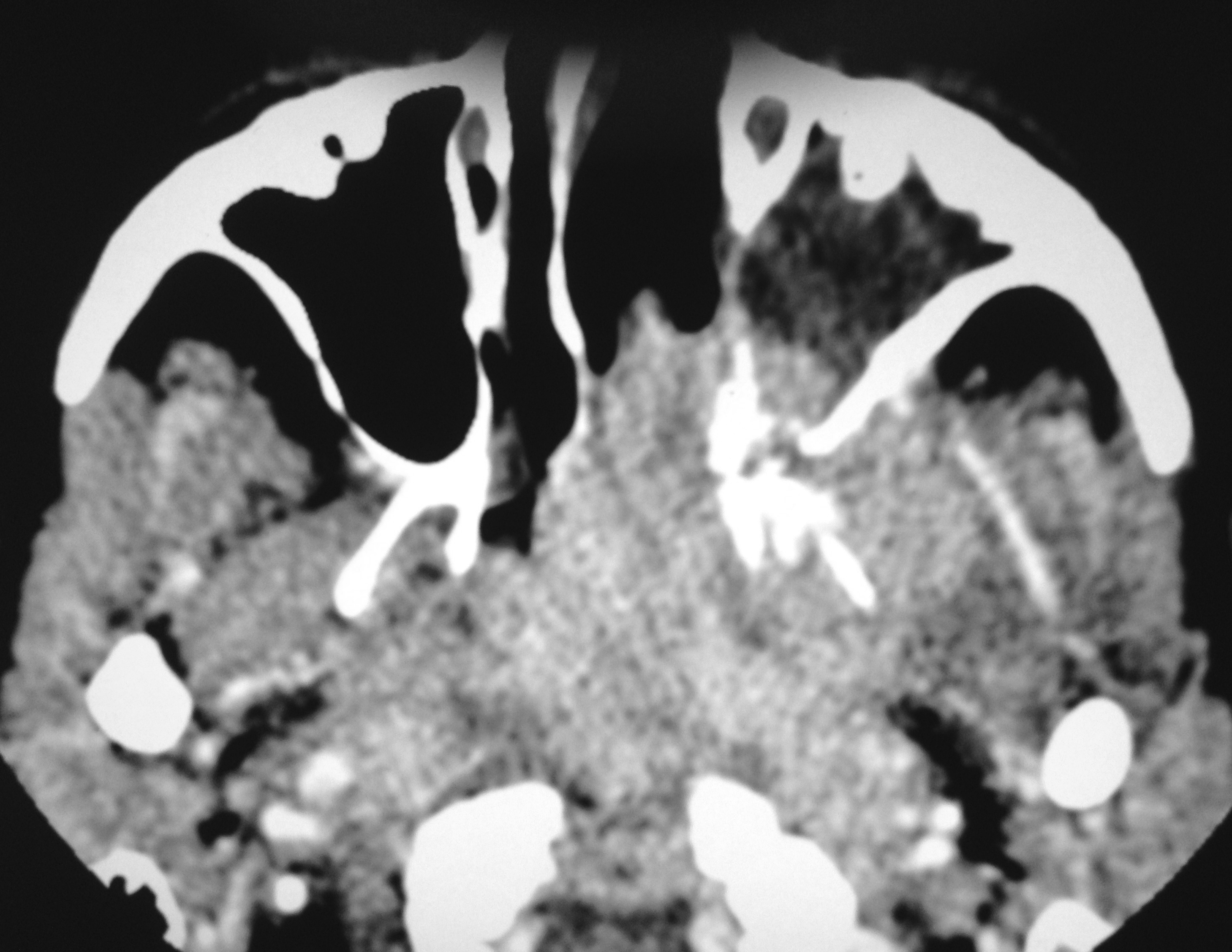
Nasopharyngeal carcinoma is a malignant disease and is more common in males than in females with M:F ratio of 3:1. It has a bimodal peak at 16-20 and 46-50 years of age. Orbital involvement is seen in 3.2% and bilateral orbital invasion occurs in 0.7% of patients with nasopharyngeal carcinoma. Imaging has significant role in detecting the early nasopharyngeal carcinoma, tumor staging, involvement of lymph node, monitoring the patients after the therapy, to detect recurrence and radiation associated changes in the soft tissue and bone. We report a case of aggressive nasopharyngeal carcinoma in 22 years old male who presented with rapidly progressive diminution of vision.

DOI: http://dx.doi.org/10.3126/ajms.v5i2.8297

Asian Journal of Medical Science, Volume-5(2) 2014: 130-133

Downloads

Download data is not yet available.
Abstract
986
PDF
559

Downloads

Published

2013-12-11

How to Cite

Ahmad, K., Ansari, S., Dhungel, K., Gupta, M. K., Rauniyar, R. K., & Siddiqui, M. A. (2013). Aggressive nasopharyngeal carcinoma presenting as diminution of vision: a case report. Asian Journal of Medical Sciences, 5(2), 130–133. Retrieved from https://www.nepjol.info/index.php/AJMS/article/view/8297

Issue

Section

Case Reports