Askin tumour following traumatic rib injury in a young adult
Keywords:
Askin tumour, Primitive neuroectodermal tumour, Ewing’s tumourAbstract
Askin tumour is a form of primitive neuroectodermal tumour arising from the thoracopulmonary region. The patient being reported is a young adult who initially presented in dyspnoea and was found to have hemothorax following chest wall injury. About one year later, he again presented in dyspnoea. But this time he was found to have a mass arising from the previous traumatic site, which was diagnosed as Askin tumour. Such a scenario of Askin tumour arising from a traumatic site is uncommon. Moreover, Askin tumour itself is a rare presentation in adults.
Asian Journal of Medical Sciences Vol.8(3) 2017 84-86
Downloads
Downloads
Additional Files
- Figure 1 - Right sided pleural effusion
- Figure 2 - Right sided hemothorax
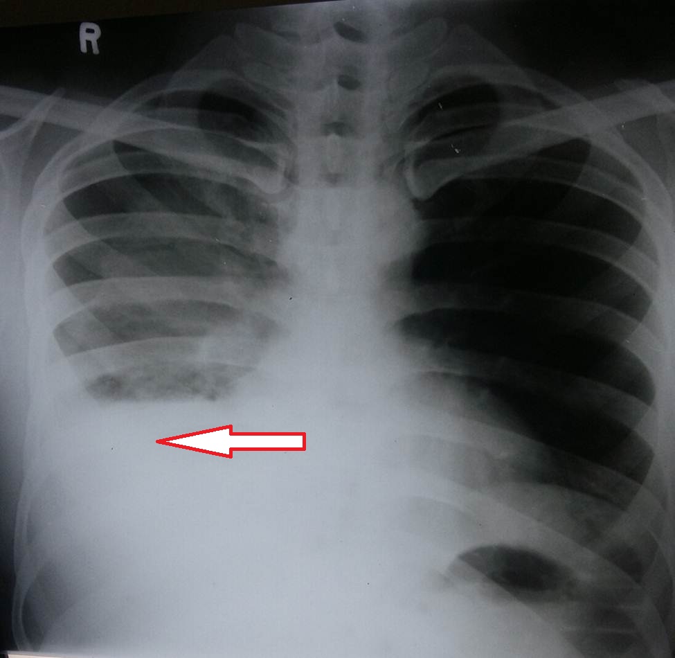
- Figure 3. Right upper lobe mass
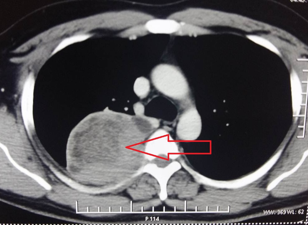
- Figure 4. CECT Thorax showing a heterogeneous mass in the posterior aspect of the right upper lobe eroding the rib margin
- Figure 5. Histopathology showing neoplasia composed of uniform small cells having dark staining round nuclei and clear cytoplasm seen in sheets and forming vague resettes
- Figure 6. Immunohistochemistry showing cells strongly positive for CD99
Published
How to Cite
Issue
Section
License
Authors who publish with this journal agree to the following terms:
- The journal holds copyright and publishes the work under a Creative Commons CC-BY-NC license that permits use, distribution and reprduction in any medium, provided the original work is properly cited and is not used for commercial purposes. The journal should be recognised as the original publisher of this work.
- Authors are able to enter into separate, additional contractual arrangements for the non-exclusive distribution of the journal's published version of the work (e.g., post it to an institutional repository or publish it in a book), with an acknowledgement of its initial publication in this journal.
- Authors are permitted and encouraged to post their work online (e.g., in institutional repositories or on their website) prior to and during the submission process, as it can lead to productive exchanges, as well as earlier and greater citation of published work (See The Effect of Open Access).