Pulmonary hamartoma, a rare benign tumour of the lung - Case series

Authors

  • Ruchita Tyagi Post Graduate Institue of Medical Education and Research, Chandigarh, India
  • Amamjit Bal Associate Professor, Department of Histopathology, Post Graduate Institute of Medical Education and Research, Chandigarh
  • Divyesh Mahajan Post Graduate institute of Medical Education and Research, Chandigarh
  • Raje Nijhawan Post Graduate Institute of Medical Education and Research, Chandigarh
  • Ashim Das Post Graduate Institute of Medical Education and Research, Chandigarh

Keywords:

pulmonary, hamartoma, solitary, nodule

Abstract

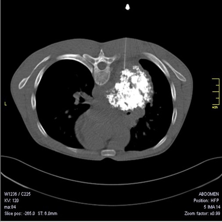
Introduction - Pulmonary hamartoma, with incidence of 0.25-0.32%, accounts for 6% of solitary pulmonary nodules. The role of radiology is limited as only 10-30% of cases show characteristic ‘popcorn’ calcification and Computed Tomography can detect approximately  50% of hamartomas. Hence cytological and/or histopathological examination is required to make a definitive diagnosis and exclude malignancy.

Objective – As pulmonary hamartoma is a rare entity detected serendipitously on radiography and requires cytological and histopathological examination for confirmation of diagnosis, we present nine cases of solitary pulmonary nodules which were diagnosed as pulmonary hamartoma.

 Methods - We retrospectively screened departmental records and slides and found nine cases of pulmonary hamartoma in our tertiary care institute. Three cases were diagnosed on CT guided Fine Needle Aspiration Cytology and four cases were diagnosed on histopathological examination of surgical specimens, over a period of 16 years (1997-2012). Two cases were incidentally discovered to have pulmonary hamartoma at autopsy.

 Observations – The age of the patients ranged from 17-63 years (mean-46.3), with male to female ratio being 3.5:1. The size of the hamartoma varied from 0.4 – 1.3 cm, with mean diameter of 1 cm. Cytology showed mixture of bronchial epithelial cells, adipocytes and stromal fragments in fibromyxoid and chondroid background. Histopathology demonstrated lobules of cartilage and adipose tissue with intervening clefts lined by respiratory epithelium and mesenchymal stroma.

Conclusion – Every solitary pulmonary nodule is not malignant. It is important to correctly diagnose pulmonary hamartoma, a rare, yet benign neoplasm presenting as a solitary lung nodule and distinguish it from malignancy.

Asian Journal of Medical Science, Volume-5(3) 2014: 112-115

http://dx.doi.org/10.3126/ajms.v5i3.9243

 

Downloads

Download data is not yet available.
Abstract
1016
PDF
2081

Author Biographies

Ruchita Tyagi, Post Graduate Institue of Medical Education and Research, Chandigarh, India

Senior Resident, Department of Pathology

Amamjit Bal, Associate Professor, Department of Histopathology, Post Graduate Institute of Medical Education and Research, Chandigarh

Associate Professor, Department of Histopathology, Post Graduate Institute of Medical Education and Research, Chandigarh 

Divyesh Mahajan, Post Graduate institute of Medical Education and Research, Chandigarh

Department of Radio-diagnosis, Assistant Professor

Raje Nijhawan, Post Graduate Institute of Medical Education and Research, Chandigarh

 Department of Cytology and Gynecologic pathology, Professor

Ashim Das, Post Graduate Institute of Medical Education and Research, Chandigarh

Department of Histopathology, Professor

Downloads

Published

2014-02-26

How to Cite

Tyagi, R., Bal, A., Mahajan, D., Nijhawan, R., & Das, A. (2014). Pulmonary hamartoma, a rare benign tumour of the lung - Case series. Asian Journal of Medical Sciences, 5(3), 112–115. Retrieved from https://www.nepjol.info/index.php/AJMS/article/view/9243

Issue

Section

Case Reports