Osteopetro-Rickets: A Rare Paradoxical Association in an Infant
DOI:
https://doi.org/10.3126/jnps.v32i1.5292Keywords:
Osteopetrosis, Osteopetro-rickets, RicketsAbstract
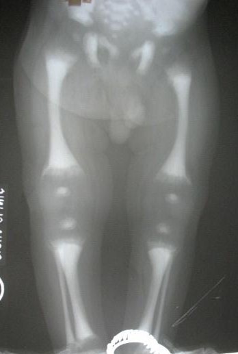
Infantile malignant osteopetrosis is a hereditary bone disease with intense positive balance of body calcium. Osteopetro-rickets is a very rare paradoxical association of infantile osteopetrosis and rickets. This is a case report of an infant with osteopetro- rickets. He presented with severe anaemia, splenomegaly, hepatomegaly and clinical signs of rickets. The clinical, biochemical and skeletal survey showed osteopetrosis and rickets. We also describe the pathophysiologic mechanism and various management options.
Key words: Osteopetrosis; Osteopetro-rickets; Rickets
DOI: http://dx.doi.org/10.3126/jnps.v32i1.5292
J. Nepal Paediatr. Soc. Vol.32(1) 2012 88-89
Downloads
Downloads
Additional Files
Published
How to Cite
Issue
Section
License
Authors who publish with this journal agree to the following terms:
Authors retain copyright and grant the journal right of first publication with the work simultaneously licensed under a Creative Commons Attribution License that allows others to share the work with an acknowledgement of the work's authorship and initial publication in this journal.
Authors are able to enter into separate, additional contractual arrangements for the non-exclusive distribution of the journal's published version of the work (e.g., post it to an institutional repository or publish it in a book), with an acknowledgement of its initial publication in this journal.
Authors are permitted and encouraged to post their work online (e.g., in institutional repositories or on their website) prior to and during the submission process, as it can lead to productive exchanges, as well as earlier and greater citation of published work (See The Effect of Open Access).