Histiocytosis: An Uncommon Presentation with Hypopituitarism
DOI:
https://doi.org/10.3126/jnps.v32i1.5343Keywords:
Histiocytosis, Diabetes inspidus, Growth hormone deficiency, Central hypothyroidismAbstract
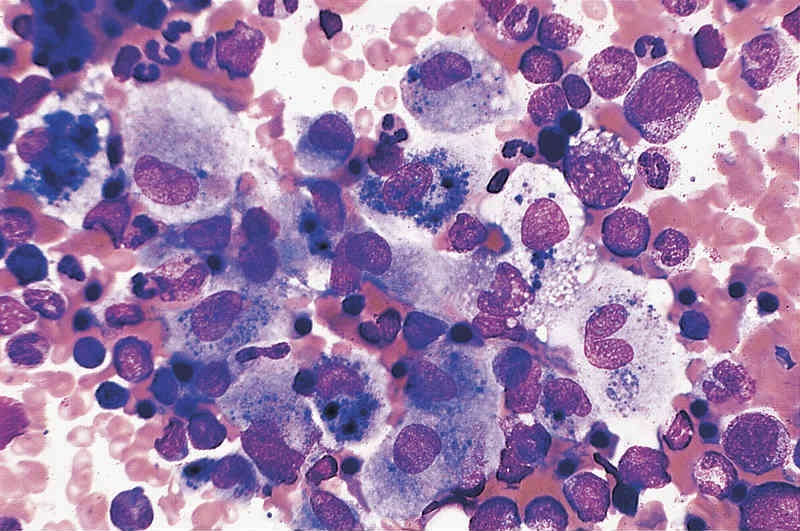
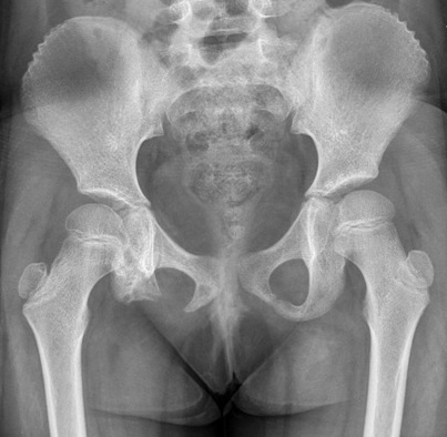
Langerhans cell histiocytosis is a multi system disorder with a certain predilection for involving hypothalamic pituitary axis. We hereby report a 7 year old girl presenting with polyuria, polydipsia and growth retardation. The girl had a past history of pain in right hip joint and nodular region over chest. Water deprivation test confirmed the diagnosis of central diabetes inspidus. Other investigations revealed Growth hormone deficiency and central hypothyroidism. X-ray and MRI hip revealed absent right inferior pubic ramus with bone marrow biopsy confirming the diagnosis of histiocytosis. Patient was treated with nasal Arginine Vasopressin spray, subcutaneous growth hormone and oral thyroxine.
Key words: Histiocytosis; Diabetes inspidus; Growth hormone deficiency; Central hypothyroidism
DOI: http://dx.doi.org/10.3126/jnps.v32i1.5343
J. Nepal Paediatr. Soc. Vol.32(1) 2012 81-84
Downloads
Downloads
Additional Files
Published
How to Cite
Issue
Section
License
Authors who publish with this journal agree to the following terms:
Authors retain copyright and grant the journal right of first publication with the work simultaneously licensed under a Creative Commons Attribution License that allows others to share the work with an acknowledgement of the work's authorship and initial publication in this journal.
Authors are able to enter into separate, additional contractual arrangements for the non-exclusive distribution of the journal's published version of the work (e.g., post it to an institutional repository or publish it in a book), with an acknowledgement of its initial publication in this journal.
Authors are permitted and encouraged to post their work online (e.g., in institutional repositories or on their website) prior to and during the submission process, as it can lead to productive exchanges, as well as earlier and greater citation of published work (See The Effect of Open Access).