Cystic Hygroma of Wrist
DOI:
https://doi.org/10.3126/jnps.v32i2.5465Keywords:
cystic hygroma, wristAbstract
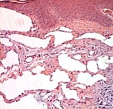
Cystic hygroma is the rare congenital lesion. This is a cystic variety of lymphangioma. Cystic hygroma arising outside of the cervicofacial, thoracic, and abdominal areas are extremely rare. Wrist is a very rare site for occurrence of cystic hygroma. Presentation depends on site of location of cystic hygroma. A case of cystic hygroma of wrist in a child is reported. This child presented with painless swelling of left wrist. Excision of cyst was done. This is first case report of literature reporting occurrence of cystic hygroma on wrist.
J Nepal Paediatr Soc 2012;32(2):166-168
Downloads
Downloads
Published
How to Cite
Issue
Section
License
Authors who publish with this journal agree to the following terms:
Authors retain copyright and grant the journal right of first publication with the work simultaneously licensed under a Creative Commons Attribution License that allows others to share the work with an acknowledgement of the work's authorship and initial publication in this journal.
Authors are able to enter into separate, additional contractual arrangements for the non-exclusive distribution of the journal's published version of the work (e.g., post it to an institutional repository or publish it in a book), with an acknowledgement of its initial publication in this journal.
Authors are permitted and encouraged to post their work online (e.g., in institutional repositories or on their website) prior to and during the submission process, as it can lead to productive exchanges, as well as earlier and greater citation of published work (See The Effect of Open Access).