Panoramic Radiographic Assessment of Status of Impacted Mandibular Third Molars: A Tertiary Care Centre Based Study in Eastern Nepal

Authors

  • Pragya Regmee Department of Oral Medicine and Radiology, B. P. Koirala Institute of Health Sciences, Dharan, Nepal. http://orcid.org/0000-0001-6982-8496
  • Jyotsna Rimal Department of Oral Medicine and Radiology, B. P. Koirala Institute of Health Sciences, Dharan, Nepal.
  • Iccha Kumar Maharjan Department of Oral Medicine and Radiology, B. P. Koirala Institute of Health Sciences, Dharan, Nepal.
  • Surya Raj Niraula School of Public Health and Community Medicine, B. P. Koirala Institute of Health Sciences, Dharan, Nepal.

DOI:

https://doi.org/10.3126/jcmsn.v14i2.20187

Keywords:

Mandible, Third molar, Impacted teeth, Panoramic Radiography

Abstract

ABSTRACT

Background: Mandibular third molar (M3M) is the most posterior of the three molars present in each quadrant. Racial variation, genetic inheritance etc can affect the jaw size, size of tooth and ultimately the eruption state of M3M. So, studies of impacted M3Ms have been carried out in various populations. But data relating to these are not evident from most of the parts of Nepal. Hence, this study was done to assess the status of impacted M3Ms in a tertiary care center in eastern Nepal.

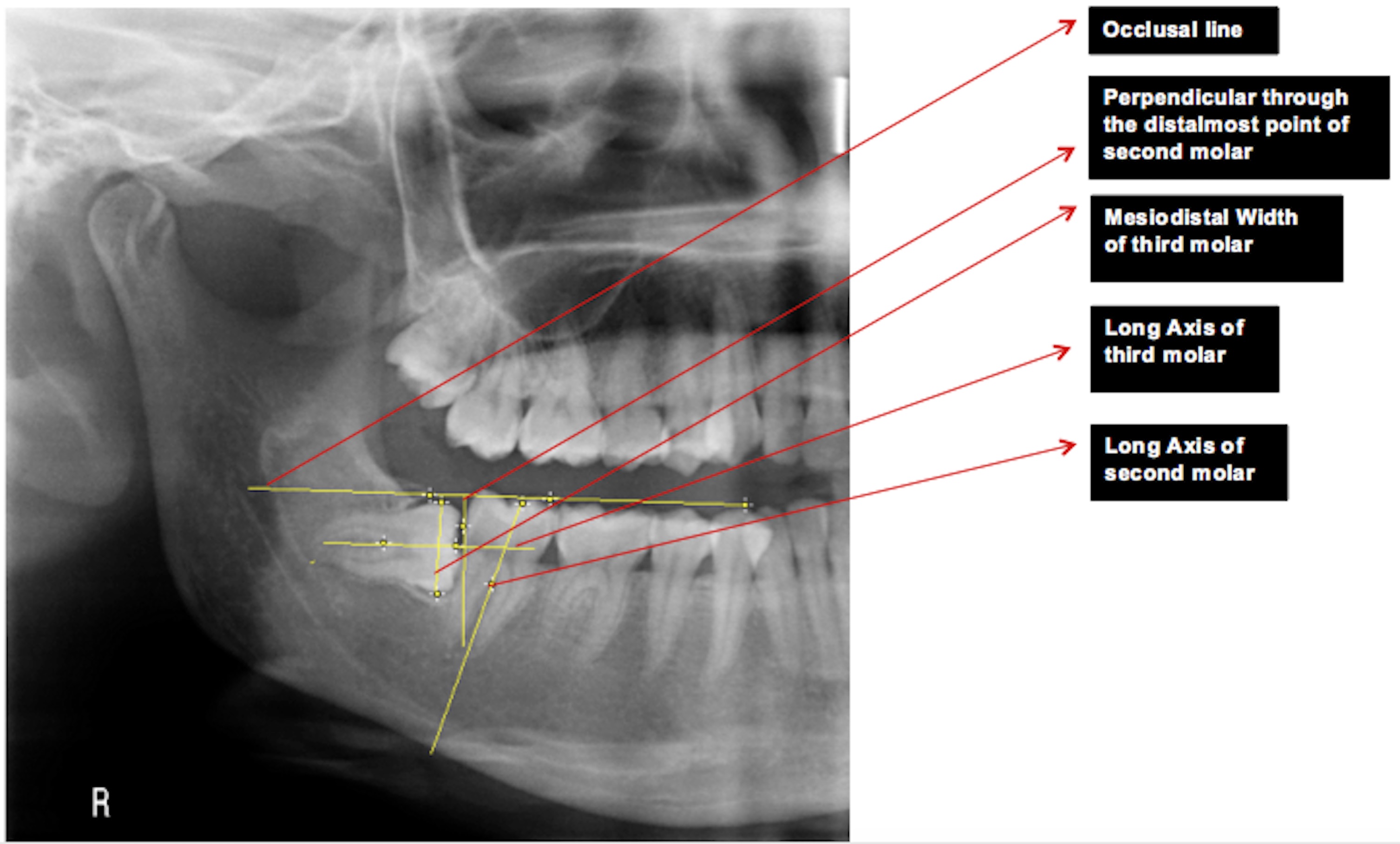
Materials & Methods: Total of 220 patients’ M3Ms (i.e 440 sites of M3Ms) were assessed with Panoramic Radiographs, in Department of Oral Medicine and Radiology. The impaction status was divided as class of impaction (I, II, III), level of eruption (A, B, C) and angulation (mesioangular, vertical, distoangular and horizontal). Data were entered in Microsoft excel sheet and analyzed using SPSS software version 11.5. Results: Class II impaction state was
most commonly present in this population group, in 345 sites (85.18%) while none of the patients had class III impaction. Level A eruption was most prevalent, 315 sites (77.78%). The least prevalent was level C eruption, 14 sites (3.46%). Majority 18 sites (46.67%) had vertical inclination while only 32 sites (7.9%) had horizontal inclination.

Conclusion: The most prevalent impaction state of M3M in this population
group is Class II, Level A with vertical angulation. 

Keywords: impacted teeth; mandible; panoramic radiography; third molar.

Downloads

Download data is not yet available.
Abstract
890
PDF
849

Downloads

Published

2018-07-30

How to Cite

Regmee, P., Rimal, J., Maharjan, I. K., & Niraula, S. R. (2018). Panoramic Radiographic Assessment of Status of Impacted Mandibular Third Molars: A Tertiary Care Centre Based Study in Eastern Nepal. Journal of College of Medical Sciences-Nepal, 14(2), 85–91. https://doi.org/10.3126/jcmsn.v14i2.20187

Issue

Section

Original Articles